Vandaag de dag staan cardiologische afdelingen onder druk om baanbrekende oplossingen voor beeldvorming te implementeren, zonder in te leveren op de efficiëntie van de workflow, de diagnose en behandeling, of de patiëntenzorg. Philips cardiovasculaire echografiesystemen leveren uitstekende functies en prestaties, waarmee u de zorgkwaliteit en workflows binnen uw cardiologische afdeling kunt verbeteren. Zo kunt u superieure zorg bieden aan al uw patiënten.
Wanneer u het formulier invult, nemen wij contact met u op
Wanneer u het formulier invult, nemen wij contact met u op
De Philips EPIQ CVx is een geavanceerd cardiovasculair echografiesysteem met AI-gebaseerde functionaliteiten en diagnostische oplossingen, ontworpen om complexiteiten te overwinnen en echocardiografie te verbeteren voor meer consistentie, innovatie, efficiëntie en schaalbaarheid.

Affiniti CVx
Philips Affiniti CVx biedt krachtige AI-gestuurde features om echocardiografie naar een hoger niveau te tillen. Het systeem zorgt voor grotere consistentie, toegankelijke innovatie, verbeterde workflows en eenvoudige schaalbaarheid op een vertrouwd platform.
Compact 5500CV
Philips Compact Ultrasound System 5500CV biedt krachtige hartscanningsprestaties en hoogwaardige beeldkwaliteit in een draagbaar ontwerp, vergelijkbaar met Philips premium systemen. Het combineert de innovaties van Philips premium echografie in een compact formaat zonder concessies te doen aan de prestaties.
Philips biedt u de meest baanbrekende oplossingen in de cardiologie. De Philips EPIQ CVx* is een specifieke echografie-oplossing voor cardiologie met belangrijke innovaties, die uw medewerkers kunnen ontlasten binnen de drukte van dagelijkse uitdagingen.


TrueVue
Philips Cardiology TrueVue bevat een virtuele lichtbron waarmee het eenvoudiger wordt om de locatie van defecten te visualiseren en inzicht te krijgen in de diepte van de structuren. Dit leidt tot betere visualisatie van de anatomie tijdens transthoracale en transoesofageale echografie.

Dynamic HeartModelA.I.
Philips HeartModelA.I. is een 3D-tool waarmee u binnen enkele seconden een robuuste, reproduceerbare ejectiefractie (EF) ontvangt in een normale workflow. Dynamic HeartModelA.I. toont bewegende contouren van de volumes van de linkerventrikel (LV) en het linkeratrium (LA).

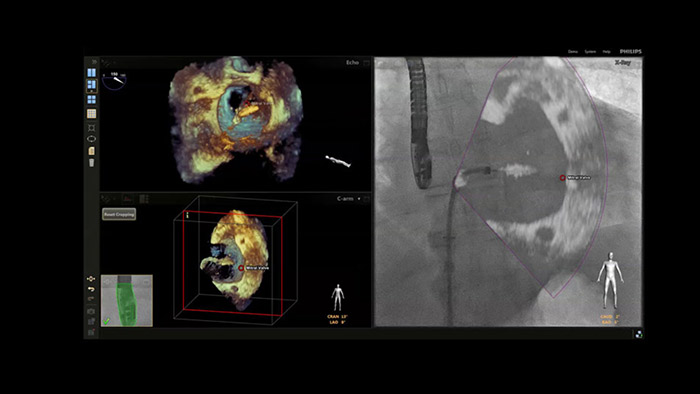
Nieuwe EchoNavigator met anatomische intelligentie
Om u extra inzicht te geven in de locatie van anatomische structuren, katheters en devices tijdens interventionele cardiale procedures, biedt de Philips EPIQ CVxi* ondersteuning bij multimodale besluitvorming.

AutoSTRAIN
TOMTEC AutoSTRAIN is een strain-oplossing die werkt met één druk op de knop. De oplossing wordt ondersteund door Auto View Recognition en Auto Contour Placement. De robuustheid is beoordeeld aan de hand van meer dan 6000 beelden. AutoSTRAIN biedt snelle en reproduceerbare GLS-metingen (globale longitudinale strain) van de linker hartkamer binnen de dagelijkse routine.

Via een aantal modaliteiten kan de hartfunctie op verschillende manieren worden beoordeeld. Echocardiografie biedt rendabele en betrouwbare functionaliteiten waarmee u snel bewegende structuren van het hart kunt beoordelen, zonder blootstelling aan ioniserende straling.

Philips HeartModelA.I. is een 3D-tool dat korte onderzoekstijden mogelijk maakt en voor een naadloze workflow en brede toepasbaarheid zorgt. De tool detecteert, segmenteert en kwantificeert het linkerventrikel (LV) en linkeratrium (LA) automatisch uit live 3D-beelden.











*EPIQ CVx/CVxi is niet in elke markt verkrijgbaar. Neem voor meer informatie contact op met uw lokale Philips Account Manager.
You are about to visit a Philips global content page
Continue